Anastatica Hierochuntica etanolik va suvli ekstraktlarining antioksidant faolligi, fenolik profili va nefroprotektiv potentsiali CCl4-Kalamushlarda induktsiya qilingan nefrotoksiklikka qarshi
Mar 16, 2022
Aloqa:ali.ma@wecistanche.com
Tariq I. Almundarij va boshqalar
Annotatsiya:Kaff-e-Maryam (Anastatica hierochuntica L.) bir qator sog'liq muammolarini davolashda, ayniqsa, tug'ilishni engillashtirish va reproduktiv tizim bilan bog'liq kasalliklarni engillashtirish uchun keng qo'llaniladi. Ushbu tadqiqot A. ierofantik etanolik ta'sirini baholashga qaratilgan (KEE) va suvli (KAE) ekstraksiya CCl4-kalamushlarda biokimyoviy markerlardan foydalangan holda oksidlovchi stress va nefrotoksiklik.buyrakfunktsiyalariva antioksidant holati, shuningdek, buyrak to'qimalarining gistopatologik tekshiruvlari.A. ierofantik tarkibida 67,49 mg GAE g−1 umumiy fenolik birikmalar (TPC), 3,51 mkg g−1 umumiy karotenoidlar (TC) va 49,78 va 17,45 mg QE g−1 umumiy flavonoidlar (TF) va jami flavonollar (TFL), mos ravishda. Natijada DPPH-RSA ning 128,71 mkmol TE g−1 va ABTS-RSA ning 141,92 mkmol TE g−1 hosil bo‘ldi. A. ierofantik taqdim etilgan ustunantioksidant faolliklinoleik kislota radikallarini inhibe qilish va oksidlanish metallarini xelatlash orqali. HPLC tahlili natijasida 9 va 21 fenolik kislotalar va 6 va 2 flavonoidlar mavjud.KEEva KAE mos ravishda sinapik va shprits kislotalari ustunlik qiladi. Mushak ichiga vitni yuborish. E plyus Se va KEE, KAE va KEE plus KAE ni 250 mg kg-1 tana vaznida og'iz orqali yuborish zardobdagi kreatinin, karbamid, K, umumiy protein va albumin darajasini sezilarli darajada tikladi. Bundan tashqari, ular malondialdegidni (MOD) kamaytirdi, qaytarilgan glutationni (GSH) tikladi va superoksid dismutaza (SOD) darajasini oshirdi. KEE, KAE va KEE plus KAE himoyalanganbuyraklarCCl{0}}nefrotoksikligidan, chunki ular asosan induksiyalangan oksidlovchi stressni susaytirgan. Jaminefronbo'lim KEE, KAE va KEE plus KAE uchun mos ravishda taxminan 83,27 foiz, 97,62 foiz va 78,85 foizni tashkil etdi. Ikkala vit. E plus Se va A. ierofantik ekstraktlari CCl bilan davolash qilingan kalamushlarda gistopatologik o'zgarishlarni susaytirdi. Xulosa qilib aytish mumkinki, A. ierofantik, ayniqsa KAE, oksidlanish barqarorligini tiklash va yaxshilash uchun potentsial qobiliyatga ega.buyrakCCl4 dan keyin funksiyao'tkir buyrak shikastlanishiKEE dan yaxshiroq. Shuning uchun A. ierofantik dori nefrotoksikligini davolashda foydali terapevtik vosita bo'lish imkoniyatiga ega.
Kalit so‘zlar:Kaffi Maryam; polifenollar; bioaktivlik; ikkilamchi metabolitlar;buyrak markerlari; antioksidant fermentlar;buyrakdisfunktsiya

Buyrak kasalliklarining oldini olish uchun Cistanche NZ, namunani olish uchun shu yerni bosing
1.Kirish
Buyrak kasalligiO'lim sabablari orasida 9-o'rinni egallaydi, har 7 tadan 1 tadan ko'prog'i, ya'ni AQShdagi kattalarning 15 foizi yoki 37 million kishisurunkali buyrak kasalligi(CKD) [1]. Shunisi e'tiborga loyiqki, 2015 yilda qayd etilgan CKDning eng keng tarqalgan sababi qandli diabet, undan keyin yuqori qon bosimi va glomerulonefrit [2]. CKD ning boshqa sabablari orasida idiopatik (ko'pincha buyrak ultratovush tekshiruvida kichik buyraklar bilan bog'liq) kiradi [3]. Ilgari CCl4 metallni yog'sizlantirish, quruq tozalash, matolarni dog'lash, yong'inga qarshi suyuqliklar va donni fumigatsiya qilish uchun ishlatilgan [4]. U faol erkin radikallarni hosil qilib, jigar, o'pka va moyaklar, shuningdek qonda jiddiy buzilishlarni keltirib chiqaradi [5]. Ogeturk va boshqalarning topilmalariga ko'ra. [6], bu erituvchiga ta'sir qilish buyrakning o'tkir va surunkali shikastlanishiga olib keladi. Erkin radikallar tomonidan qo'zg'atilgan lipid peroksidatsiyasi turli xil patologik holatlarga olib keladigan hujayra membranalarining shikastlanishining asosiy sabablaridan biri ekanligiga ishoniladi [7]. Reaktiv radikallarning paydo bo'lishi lipidlarning peroksidlanishi va disfunktsional oqsillarning to'planishi bilan bog'liq bo'lgan CCl{10}}bo'lgan nefrotoksiklik bilan bog'liq bo'lib, buyraklar shikastlanishiga olib keladi [8]. So'nggi yillarda dorivor o'simliklardan hayratlanarli, an'anaviy foydalanish ko'paydi va ko'plab tadqiqotlar ularning bir nechta kasalliklarga qarshi terapevtik rolini tasdiqladi [9-12].

2. Materiallar va usullar
2.1. Namuna tayyorlash
Kaff-e-Maryam (A. hierofantic L.) zavodining namunasi Saudiya Arabistonining Qosim viloyati, Burayda shahridagi mahalliy bozordan sotib olindi. Oʻsimlik moddasi Saudiya Arabistoni, Qassim universiteti Qishloq xoʻjaligi va veterinariya meditsina kolleji oʻsimliklar yetishtirish va himoya qilish boʻlimi tomonidan tasdiqlangan. Barglardan qum va axloqsizlikni olib tashlash uchun namuna toza musluk suvi bilan yuvilgan va keyin havoda quritilgan o'simlik materiali (28 ± 1 ◦C da 48 soat davomida) mexanik changlangan va shaffof bo'lmagan polietilen paketlarda 4 ± 1 ◦C da saqlanadi. foydalanilgunga qadar.
2.2. Etanol va suvli ekstraktlarni tayyorlash
Taxminan 200 g quritilgan A. hierofantik 300 ml 70 foizli etanol bilan etanolik ekstraktsiyani (KEE) tayyorlash uchun Soxhlet ekstraktorida ekstraksiya qilingan. Ekstrakt aylanma evaporatator tomonidan 40 ◦C da qolgan erituvchini bug'lantirish uchun konsentratsiyalangan, so'ngra N2 oqimi ostida quritilgan. Suvli ekstraksiya (KAE) Asuzu [23] tomonidan tavsiflanganidek, kichik o'zgarishlar bilan amalga oshirildi. Ikki yuz gramm quritilgan o'simlik moddasi 500 ml issiq steril distillangan suvga qo'shildi. Keyin aralash yaxshilab chayqatiladi va 1 soat turishga ruxsat beriladi. Keyin kolbaga reflyuksli kondensator qo'yiladi va keyin 10 daqiqa davomida yumshoq qaynaguncha qizdiriladi, sovutiladi, yaxshilab chayqatiladi va Whatman No1 filtr qog'ozidan filtrlanadi. Filtrni aylanuvchi bug'latgichda bug'landi, so'ngra N2 oqimi ostida quritildi. Spirtli va suvli ekstraktlar (250 mg mL-1) og'iz orqali yuborish uchun distillangan suvda yangi hosil qilingan.
2.3. Jami fenolik tarkib (TPC)
A. hierofantikasining TPC tarkibi Bettaieb va boshqalar tomonidan moslashtirilgan usul bo'yicha aniqlangan. [24]. Natijalar 50-500 mg mL-1 (R2=0.99) oralig'ida tuzilgan gallik kislotasi (GA) standart egri chizig'i bilan taqqoslandi va TPC mg gallik kislota ekvivalenti (GAE) sifatida hisoblandi. ) har bir gramm A. ierofantik (mg GAE g−1 ).
2.4. Jami karotinoidlar (TC), umumiy flavonoidlar (TF) va umumiy flavonollar (TFL)
Al-Qabba va boshqalar xabar berganidek. [10], 5 g A. hierofantik aseton va neft efir aralashmasi (1:1, v/v) bilan qayta-qayta ekstraksiya qilingan. Umumiy karotenoidlar (TC) tarkibi 451 nm da spektrofotometrik tarzda aniqlandi. TC mg g-1 DW sifatida ifodalangan. A. hierofantikaning TF tarkibi Mohdaly va boshqalar tomonidan tavsiflangan protokolga muvofiq tahlil qilindi. [25]. TF tarkibi 100 g-1 DW uchun mg quercetin ekvivalenti (QE) sifatida hisoblangan. Xuddi shu kontekstda TFL tarkibi amalga oshirildi [26]. 440 nm da absorbans qayd etildi va TFL 100 g-1 DW uchun mg quercetin ekvivalenti (QE) sifatida hisoblandi.
2.5. Antioksidant quvvatini aniqlash
DPPH radikalini tozalash tahlili: RSA Lu va boshq. [27]. Antiradikal sig'im A. ierofantik (µmoL TE g−1) grammiga Trolox ekvivalentlarining mkmol (TE) sifatida taqdim etildi. ABTS radikallarini tozalash faoliyati: ABTS radikallariga qarshi A. hierofantik RSA Lu va boshqalarning moslashtirilgan usuli bilan sinovdan o'tkazildi. [27]. Natijalar mmoL TE g−1 sifatida ifodalangan. -karotin-linoleik kislota oqartirish tahlili: A. ierofantikning antioksidant foizi Koleva va boshqalar tomonidan belgilangan moslashtirilgan spektrofotometrik protokolni qo'llash orqali butilatlangan gidroksianizol (BHA) bilan solishtirganda -karotin bilan sayqallash nuqtai nazaridan baholandi. [28]; natijalar BHA bilan bog'liq foiz sifatida berilgan. A. ierofantikning temir ionlariga xelatlovchi ta'siri: A. ierofantikning xelatlash faolligi Zhao va boshqalar tomonidan protokolga muvofiq o'lchandi. [29]. Ijobiy nazorat sifatida etilendiamintetraasetik kislota (EDTA) ishlatilganda, ferrozin-Fe2 va metall xelatlovchi ta'sir sifatida kompleks hosil bo'lishining inhibisyon foizi o'lchandi va mg mL-1 sifatida taqdim etildi.
2.6. A. ierofantik suvli va etanolik ekstraktlarning polifenolik birikma fraksiyasi
Etanol va suvli ekstraktlardan polifenollarni aniqlash HP1100 (Agilent Technologies, Palo Alto, CA, AQSH) HPLC tizimi tomonidan avtomatik namuna oluvchi, to'rtlamchi nasos va diodli massiv detektori (Hewlett Packard 1050) yordamida ustun (Altima) yordamida amalga oshirildi. C18 150 × 4,6 mm, 5 mkm) Goupy va boshqalarga ko'ra 5 mm Altima C18 himoya ustuni (Alltech, Nettetal, Germaniya). [30]. Amaldagi erituvchi tizimi A (sirka kislotasi 2,5 foiz), B (sirka kislotasi 8 foiz) va C (asetonitril) gradienti edi. Erituvchining o'zaro nisbati 1 ml min-1 edi va ajratish 35 ◦C da amalga oshirildi. AOK qilingan hajm 10 µL edi. Fenolik birikmalar tashqi standart kalibrlash orqali tekshirildi va flavan{19}}ollar uchun ekvivalent (plyus )-katexin va qutbli aromatik birikmalar uchun ekvivalent kumarin sifatida mg g−1 DW sifatida ifodalandi. Xuddi shu namunadan fenollarning beshta ekstraktsiyasida 8 foiz o'zgaruvchanlik aniqlandi. Barcha qiymatlar takroriy in'ektsiyalarning o'rtacha qiymati edi. Polifenollar va ularning hosilalari 280 va 320 nm da, flavonoidlar esa 360 nm da aniqlangan va miqdori aniqlangan.
2.7. Eksperimental dizayn
Barcha eksperimentlar Hayvonlar ustida olib borilgan eksperimentlarni nazorat qilish va nazorat qilish maqsadi (CPCSEA) bilan tartibga solinadigan QU (№ {0}}), KSA institutsional Hayvonlar etikasi qo‘mitasi (IAEC) tomonidan tasdiqlangan. Milliy bioetika qo'mitasi (NCBE) qoshidagi qo'mita, Tirik mavjudotlarni tadqiq qilish etikasi qonunining qoidalarini amalga oshirish. Joriy tadqiqotda jami 36 ta erkak albinos kalamush ishlatilgan va har birida 6 ta hayvondan iborat 6 guruhga bo‘lingan va quyidagi tarzda davolash qilingan: I guruh (Nazorat) zaytun moyining qorin bo‘shlig‘iga (ip) inyeksiyasini oldi (1.0 ml kg−1 haftasiga ikki marta) va 0, 5 ml distillangan suv og'iz orqali/kuniga ketma-ket 21 kun. II guruhga teng hajmdagi CCl4 va zaytun moyining yangi aralashmasi (haftada ikki marta 1.0 ml kg−1 dozada) va 0,5 ml distillangan suv ogʻiz orqali yuborilgan. Al-Qabba va boshqalarga ko'ra har kuni. [10] kichik oʻzgartirishlar bilan. III guruh (mos yozuvlar guruhi) 50 mg kg-1 vit mushak ichiga in'ektsiya (im) oldi. Asuka va boshqalarga ko'ra, E plus Se (Selepherol, Vetoquinol Co., Magny-Vernois, Frantsiya) haftasiga ikki marta. [31] va El-Desoky va boshqalar. [32] va og'iz orqali/kuniga 0,5 ml distillangan suv. IV guruh sinov sifatida xizmat qildi va haftasiga ikki marta CCl4 ip bilan birga kuniga 250 mg kg-1 KEE qabul qildi. V guruh 250 mg kg-1 KAE ni og'iz orqali / kunlik va haftasiga ikki marta CCl4 ip bilan qabul qildi. VI guruh 250 mg kg-1 KEE va KAE (1: 1) og'zaki / kunlik va haftasiga ikki marta CCl4 ip bilan qabul qildi. Oxirgi davolanishdan yigirma to'rt soat o'tgach (21-kun) kalamushlar aralashma bilan behushlik qilishdi (spirt: xloroform: efir, 1: 2: 3). Barcha hayvonlar uchun yurak ponksiyonidan qon namunalari yig'ildi va sarum 10 daqiqa davomida 4000 rpm tezlikda santrifüjlash orqali ajratildi va biokimyoviy tekshirish uchun -20 ° C da saqlanadi.
2.7.1. Buyrak biokimyoviy tahlili
Sarum kreatinin, karbamid, umumiy oqsil va albumin kontsentratsiyasi ishlab chiqaruvchining ko'rsatmalariga muvofiq avtomatlashtirilgan spektrofotometrik usullar (BM/Hitachi autoanalyzer-911; Boehringer Mannheim, Germaniya) bilan aniqlandi. Kaliy darajalari 766 nm da olovli fotometriya yordamida aniqlandi.
2.7.2. Buyrakning antioksidant faolligini baholash
Qon namunalari yig'ilgandan so'ng, barcha guruhlardagi hayvonlar qurbon qilindi; to'g'ribuyraklartez izolyatsiya qilingan va muzli sho'r suv bilan yuvilgan. Keyin to'qima kesilib, sovuq sho'r suvda yuviladi, quritiladi va darhol muz ustiga qo'yiladi. Elektr to'qimalarining gomogenizatoridan foydalanib, to'qimalarning qismlari (1.0 g) tortildi va pH 7,4 da 9 hajmli muzli 0.05 M fosfat tamponi bilan gomogenlashtirildi. Hujayra qoldiqlari malondialdegid (MDA) kontsentratsiyasini [33], superoksid dismutaza (SOD) faolligini [34] aniqlash uchun supernatantlarni to'plash uchun 20 daqiqa davomida 12,{10}} rpm (4 ◦C) da santrifüjlash orqali olib tashlandi va kamayadi. glutation (GSH) tarkibi [35]. Protein konsentratsiyasibuyrakhomogenat Bredford usuli yordamida aniqlandi [36].
2.7.3. Nefroprotektsiya foizi
vitning nefroprotektiv (F) foizlari. E plus Se, KEE, KAE va KEE plus KAE Wakchaure va boshqalarga ko'ra har bir biokimyoviy parametr uchun alohida hisoblab chiqilgan. [37] quyidagi tenglama yordamida:

Bu erda T=davolash guruhining o'rtacha qiymati, C=musbat nazorat guruhining o'rtacha qiymati va N= salbiy nazorat guruhining o'rtacha qiymati. Bundan tashqari, umumiy nefroprotektsiya foizi (TFP foizi) vit bilan taqqoslandi. E plus Seas quyidagicha:

2.7.4. Histopatologik tadqiqotlar
Otopsi namunalari chap tomondan olinganbuyrakkalamushlarning alohida guruhlari va 24 soat davomida 10% formalin fiziologik eritmasida o'rnatiladi. Musluk suvi bilan yuvish, spirtli ichimliklarni (metil, etil va mutlaq etil) ketma-ket suyultirish bilan suvsizlantirishdan keyin amalga oshirildi. Namunalar ksilenda tozalandi va issiq havo pechida 56 ◦C da 24 soat davomida kerosinga solingan. Parafin asalari mumi toʻqima bloklari chana mikrotomi yordamida 4-mikron qalinligida boʻlinish uchun tayyorlangan. To'qimalarning bo'laklari shisha slaydlarda to'plangan, deparafinizatsiya qilingan va engil elektr mikroskop ostida muntazam tekshirish uchun gematoksilin va eozin bilan bo'yalgan [38].
2.8. Statistik tahlil
Natijalar o'rtacha ± standart xato (SE) sifatida ko'rsatilgan. Turli guruhlardagi o'rtachalar o'rtasidagi farqlarning ahamiyati bir tomonlama dispersiya tahlili (ANOVA) va Dunkan testi yordamida tekshirildi va o'rtacha p-qiymati p < 0.05="" darajasida="" berildi="" [39]="">

3. Natijalar
3.1. A. hierofantikning fitokimyoviy moddalari va antioksidant qobiliyati
DPPH va ABTS radikallarini tozalash, -karotin-linoleik kislota oqartirish faolligi va xelatlash qobiliyati (CA) yordamida A. ierofantik fitokimyoviy moddalar va tegishli antioksidant faolliklarning miqdoriy tahlili o'tkazildi. 1-jadvalda aniq ko'rinib turibdiki, TPC tarkibi 67,49 mg GAE g-1 edi. TC tarkibi 3,51 mkg g-1 edi. TF va TL tarkibi mos ravishda 49,78 va 17,45 mg QE g-1 ni tashkil etdi. Bundan tashqari, antioksidant faollikning rivojlanishini o'lchash uchun DPPH-RSA va ABTS-RSA ishlatilgan. Natijalar DPPH-RSA va ABTS-RSA uchun mos ravishda 128,71 mkmol TE g-1 va 141,92 mkmol TE g-1 ni ko'rsatdi. Bundan tashqari,antioksidant faollik(AOA) A. ierophantic 1-jadvalda keltirilgan. Linoleik kislota radikallarining inhibisyon ulushi -Karotin bilan oqartirish (-CB) tahlili yordamida BHAga nisbatan 45,74 foiz deb hisoblangan. Bundan tashqari, metall-xelatlash faolligini baholash 42,89 mg g-1 ni aniqladi, bu Fe2 plyus - ferrozin kompleksining shakllanishiga to'sqinlik qiladigan ko'rinadi, bu uning oksidlanish metallarini xelatlash qobiliyatini ko'rsatadi.

3.2. A. ierofantik fenolik birikmalarning miqdoriy koʻrsatkichlari
HPLC tahlili yordamida KEE va KAE uchun fenolik birikmalarning miqdoriy tahlili o'tkazildi va ma'lumotlar 2-jadvalda keltirilgan. A. hierofantik KEEdan aniqlangan miqdorda to'qqizta ajratilgan fenolik kislota va oltita flavonoid aniqlangan. Eng ko'p tarqalgan fenolik kislotalar sinapik kislota (28,704 mg 100 g−1) kabi gidroksisinnamik kislotalar, keyin esa kofein kislotasi (6,621 mg 10{) edi. {61}} g−1 ), rozmarin kislotasi (2,884 mg 100 g−1 ), ferul kislotasi (1,854 mg 100 g−1 ) va sinnamik kislota (0,094 mg 100 g−1 ); va p-gidroksibenzoy kislotasi (3,440 mg 100 g−1), protokatechuik kislota (1,811 mg 100 g−1), vanil kislotasi (3,326 mg 100 g−1) va shprits kislotasi (1,083 mg 100 g) kabi gidroksi-benzoy kislotalari. −1 ). Miritsetin (16,269 mg 100 g−1), D-katexin (2,410 mg 100 g−1), kaempferol (0,434 mg 100 g−1), rutin (0,539 mg 100 g−1), apigenin kabi flavonoidlar{{56} }glyukozid (0,192 mg 100 g−1 ) va quercetin (0,184 mg 100 g−1 ) bebaho miqdori aniqlandi. A. hierofantikning KAE tarkibidagi fenolik birikmalar ham aniqlangan va ma’lumotlar 2-jadvalda keltirilgan. 21 ta aniqlangan fenolik moddalar orasida eng yuqori fenolik kislota siringit kislotasi sifatida qayd etilgan. Katexol va pirogallol mos ravishda 2,526 va 1,589 mg 100 g-1 edi. Ma'lumotlar
kofein, katexin, xlorogen, epikatexin, e-vanillik, p-gidroksibenzoy va protokatechuik kislotalar kabi ba'zi fenolik kislotalar o'rtacha miqdorda aniqlanganligini ko'rsatdi 0.725, 0.256, { {6}}.136, 0.193, 0}}.443, 0.223 va 0,454 mg 100 g−1. Xuddi shu kontekstda kam miqdorda 3,4,{20}}vaqt etoksi sinnamik, 4-aminobenzoy, benzoy, sinnamik, kumarin, ellagik, ferulik, gallik, izo-ferul, -kumar, p-kumar , va salitsil kislotasi aniqlangandan keyin miqdori aniqlandi. Epikatexin va D-katexin flavonoidlar sifatida A. hierofantik KAEda ham aniqlangan.

3.3. Sarum kreatinin, karbamid, K, umumiy oqsil va albumin darajalari
CCl4 in'ektsiyasi nazorat kalamushlari (GI) bilan solishtirganda GII kalamushlarida sarum kreatinin, karbamid va k darajasini sezilarli darajada oshirdi. Aksincha, CCl bilan davolash qilingan kalamushlarda umumiy protein va albumin darajasi sezilarli darajada kamaydi (3-jadval). Vit. E plus Se va A. ierofantik ekstraktlari (G III, IV, V va VI) CCl4 in'ektsiyasi natijasida kelib chiqqan kreatinin va karbamiddagi o'zgarishlarni sezilarli darajada kamaytirdi, shu bilan birga ular albumin va umumiy oqsillarni GIda me'yoriy qiymatlarga yaqinroq qilib oshirdi (3-jadval). ). CCl bilan davolash qilingan kalamushlarda (GII) GI bilan solishtirganda sarum k darajasi sezilarli darajada oshdi (3-jadval). Vit in'ektsiyasi. E plyus Se va A. ierofantik alkogolli va suvli ekstraktlarni (G IV, V va VI) qo'llash ham GI bilan solishtirganda k darajasida ijobiy yaxshilandi (3-jadval).

3.4. Buyrakning antioksidant biomarkerlari
4-jadvalda ko'rsatilganidek, CCl4 ni qo'llash SOD va GSH darajasini sezilarli darajada kamaytirdi va GIIda MDA darajasini oshirdi.buyrakgomogen to'qimalar. Biroq, GI bilan solishtirganda, kalamushlar ikkala vit bilan davolashadi. E plus Se va A. ierofantik ekstraktlari (GIII, VI, V va VI) antioksidant fermentlar SOD va GSH faolligida sezilarli yaxshilanishni, shuningdek MDA darajasining pasayishini ko'rsatdi (4-jadval). A. ierofantik alkogolli ekstrakt (GIV) A. ierofantik suvli ekstraktdan (GV) va kombinatsiyalangan A. ierofantik spirtli va suvli ekstraktlardan antioksidant darajasini pasaytirishda va autoksidlanish jarayoniga qarshi kurashda GI bilan solishtirganda MDA darajasining pastligiga olib keldi.

3.5. Nefroprotektsiya foizi
Nefroproteksiya foizi (salbiy nazorat (GI) va ijobiy (GII) guruhlariga nisbatan)buyrakkreatinin, karbamid, k, TP va albumin kabi funktsiyalar, shuningdek, buyrak gomogenatining antioksidant faolligi (MDA, SOD, GSH) 5-jadvalda ko'rsatilgan. Nefroproteksiya foizi GIIIda kreatinin, karbamid, k kabi eng yuqori qiymatni qayd etgan. TP va GVda albumin, GIIIda MDA va GSH va GVda SOD (5-jadval). vitga nisbatan umumiy nefroproteksiya foizi. 5-jadvalda ko'rsatilganidek, E plus Se bilan davolash KAE bilan davolash qilingan guruhda (GV, 97,62 foiz), keyin KEE (GIV, 83,27 foiz) va keyin KEE plyus KAE (GVI, 78,85 foiz) maksimal darajalarini qayd etdi.

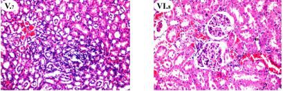
3.6. A. ierofantik ekstraktlarning buyrak tarixiy arxitekturasiga ta'siri
Biokimyoviy tadqiqotlar natijalari gistopatologik tekshiruv bilan tasdiqlangan. 6-jadval va 1-rasmda kalamushning asosiy tuzilishidagi gistologik o'zgarishlar darajasi ko'rsatilgan.buyraklarturli eksperimental guruhlarda A. ierofantik ekstraktlar bilan ishlov beriladi. Hozirgi tergovdabuyraknazorat guruhining (GI) normal gistologik tuzilishga ega ekanligi aniqlandi (1-rasm (I.1)). CCl4- bilan davolash qilingan kalamushlarning (GII) gistoarxitekturasi korteksdagi tubulalar orasiga o'choqli yallig'lanish hujayralari infiltratsiyasini (plyus plyus), kanalchalar orasidagi qon tomirlarining tiqilishini (plyus plyus) ko'rsatdi (1(II.2-rasm)) ), ba'zi kanalchalarning lümeninde bir nechta eozinofil quyma (plyus plyus) shakllanishlar va kortikomedulyar qismdagi degeneratsiyalangan kanalchalar o'rtasida fokal qon ketish (plyus plyus) (1-rasm (II.3), 6-jadval). GIIIda vitni in'ektsiya qilish. E plus Se, A. ierophantic (GIV) ning alkogolli ekstrakti, A. ierophantic (GV) ning suvli ekstrakti va A. ierofantik ekstraktlari (GVI) kombinatsiyasini qo'llash orqali CCl4 ning sitotoksik ta'sirini susaytirdi va engil (plyus) qayd etdi. korteksdagi tubulalar orasidagi qon tomirlarida mo''tadil (plyus plyus) tiqilishi (1-rasm (III.4-VI.8), 6-jadval) yaxshi rivojlangan Bowman kapsulasi bilan glomerulus va burmalangan kanalchalar kattalashgan. Bundan tashqari, A. ierophantic (GV) ning suvli ekstrakti kortikomedulyar qismda o'choqli yallig'lanish hujayralari infiltratsiyasini (plyus plyus) qayd etdi (1-rasm (V.7), 6-jadval).



4. Munozara
Fitokimyoviy moddalar, asosan, samarali erkin radikallarni tozalash vositalaridir va o'simlikka asoslangan yuqori antioksidant moddalar hisoblanadi. Polifenolik moddalar odamlarda antikanserogen va mutagenlarga qarshi xususiyatlarga ega deb hisoblanadi [40]. A. ierofantikadagi qimmatli TPC tarkibi Mohamed va boshqalar tomonidan olinganidan biroz yuqoriroq edi. [21] 51,97 mg GAE g × 1 sifatida A. ierofantik o't va AlGamdi va boshqalar tomonidan. [41], ular A. ierofantik urug'larda 4 mmol L × 1 GAE ni topdilar. Yaqinda Zin va boshqalar. [42] biofaol birikma sifatida A. ierofantikasida taninlar mavjudligini koʻrsatib, uning bioaktivligini tavsiya qilgan, bu esa chuqur oʻrganilishi kerak. Jami karotinoidlarning bir qismi sifatida -karotin miqdori Mohamed va boshqalar ta'kidlaganidek, 2,27 mkg g × 1 ni tashkil etdi. [21] va hatto hozirgi natijalar jami karotenoidlarni 3,51 mkg g × 1 deb ko'rsatdi. Flavonoid va flavonol tarkibidagi shunga o'xshash topilmalar Mohamed va boshqalar tomonidan ko'rsatilgan. [21]. Fenolik birikmalar kabi biologik faol komponentlar mavjudantioksidant faollikfaol erkin radikallarga vodorod berish orqali lipid oksidlanish zanjiri reaktsiyalarining parchalanishi sifatida. Fenolik moddalarning radikallarni inhibe qilish qobiliyati ularning fenolik gidroksil guruhlari tomonidan aniqlangan [8,10,22]. Ushbu fenolik kislota vodorod periks, gidroksil radikali va superoksid anionini o'z ichiga olgan samarali antioksidant komponent sifatida tavsiflangan [43]. A. ierofantik metall xelatlash faolligi "Fe2 plus-ferrozin" kompleks konstruktsiyasiga aralashishda mohir bo'lib ko'rinadi, bu uning "ferrozin" dan oldin "temir" ionlarini ushlash qobiliyatini ko'rsatadi. Ulardagi fenolik birikmalar miqdorining oshishi o'rtasidagi ijobiy bog'liqlik ularning antioksidant qobiliyati bilan bevosita ko'rsatiladi [42]. Andjelkovi'c va boshqalar. [44] ko'plab fenolik kislotalarning metallar bilan komplekslar hosil qilish faolligini aniqladi. Turli o'lchash usullaridan foydalangan holda qimmatli TPC va tegishli antioksidant faollik A. hierofantikaning oziq-ovqat yoki ichimliklar uchun dorivor o't sifatida bioaktivligini aniq ko'rsatib beradi va tasdiqlaydi.
Vodorod peroksid, gidroksil radikali va superoksid anionini o'z ichiga olgan samarali antioksidant komponentlar [43,45,47]. A. ierophantic ning KAE da HPLC tomonidan aniqlangan va miqdori aniqlangan birikmalar KEEda aniqlangan birikmalar sonidan yuqori edi, biroq A. hierofantikning KEE dagi aniqlangan birikmalar yuqoriroq miqdorda taqdim etildi [22]. Natijalar shuni ko'rsatadiki, iste'mol qiluvchi A. ierofantik ham qutbli, ham qutbsiz shakllarda ko'plab komponentlarni taqdim etishi mumkin. Bu natijalar xuddi shunday AlGamdi va boshqalar tomonidan taqdim etilgan. [41], chunki ular A. hirerochuntica urug'larida 20 ta polifenol birikmalarini aniqladilar va ularning miqdorini aniqladilar. Ekstrakt tarkibida xlorogen kislotalar va gidroksibenzoik kislotalar mavjud edi, ammo asosiy komponentlar flavon C-glikozidlar, C-diglikozidlar, O-glikozidlar va O-glikozid-C-glikozidlar edi, ular asosan luteolin konjugatlari sifatida uchraydi. Bundan tashqari, A. ierofantik ekstraktidagi 20 ta birikmadan 14 tasi namoyish etildiantioksidant faollikHPLC-on-line antioksidantni aniqlash tizimidan foydalanish [41]. Qizig'i shundaki, hozirgi ma'lumotlar A. ierofantikasi fitokimyoviy birikmalarga boy ekanligini va urug'larda ilgari deyarli ta'kidlanmaganidek, sog'liq uchun potentsial foyda keltiradigan tabiiy antioksidantlarning yaxshi manbai ekanligini tasdiqladi [41]. Demak, butun o'simlik kukunidan tayyorlangan choy an'anaviy iste'mol shaklidir; ma'lumotlar A. hirerochuntica ning KEE va KAE dagi yangi aniqlangan bioaktiv birikmalarni ko'rsatdi, ular AlGamdi va boshqalarda topilganlardan farq qiladi. [41]
Ko'pgina tadqiqotlarda CCl{0}}induktsiyalangan nefrotoksiklik o'simlik ekstraktlari/dorilarining nefroprotektiv ta'sirini tekshirish uchun namunaviy tizim sifatida qo'llaniladi [48,49]. Joriy tadqiqot A. ierofantik ekstraktlarining CCl4-induktsiyasiga ta'sirini ko'rib chiqdi.buyrakzarar, shuningdek, kalamushlarda uning nefroproteksiyasi va antioksidant salohiyati. Hozirgi tadqiqotda CCl4 davolash (GII) guruhi GI bilan solishtirganda kreatinin, karbamid va k darajasini sezilarli darajada oshirdi va umumiy protein va albumin kontsentratsiyasini kamaytirdi. Buning sababi shundaki, CCl4 intoksikatsiyasi ko'plab organlarda, jumladan, jigar, buyraklar, o'pka, miya va qonda erkin radikal ishlab chiqarishning asosiy manbai hisoblanadi [50]. Bundan tashqari, kalamushlarga CCl4 in'ektsiyasidan so'ng, CCl4 kontsentratsiyasi jigarga qaraganda buyraklarda bir tekis taqsimlanishi kuzatildi [51], chunkibuyrakCCl4 ga yuqori yaqinlikka ega va asosan korteksda joylashgan P450 sitoxromini o'z ichiga oladi. CCl4 ning eng keng tarqalgan erkin radikallari triklorometil radikali (CCl3• ) va triklorometil peroksil radikali (CCl3O2• ) [52]. Ushbu radikallar hujayra ichidagi oqsilga, hujayra membranasi lipidlariga va DNKga birikadi, bu esa oqsilning denatüratsiyasi, lipid peroksidlanishi va hujayra o'limiga olib keladigan oksidlovchi DNKning shikastlanishiga olib keladi [53]. Aksincha, CCl{8}}kalamushlarni vit bilan davolash. E plus Se (GIII) va A. ierofantik ekstraktlari (GVI: VI) kreatinin va karbamid darajasidagi bu ko'tarilishlarni samarali ravishda susaytirdi, shuningdek, sarum albumin va umumiy oqsillarni GI darajasiga juda yaqin bo'lishiga olib keldi. Bu A. ierofantik ekstraktlarining antioksidant xususiyatlari va boy fenolik tarkibi va vitning antioksidant qobiliyati va xelatlash faolligi bilan bog'liq bo'lishi mumkin. E plyus Se, bu erkin radikallarni tozalaydi va shu bilan buyrak shikastlanishini inhibe qiladi. Fitokimyoviy moddalar erkin radikallarni eng yuqori samarali tozalash vositalaridir va o'simliklarning eng yaxshi antioksidant agentlari hisoblanadi [54]. KEEdagi to'qqizta aniqlangan fenolik birikmalar orasida eng ko'p tarqalgan fenolik birikmalar gidroksisinnamik kislotalar, masalan, sinapik kislota edi, shprits kislotasi esa KAEdagi 21 aniqlangan fenolik kislotalar orasida eng yuqori fenolik kislota edi. HPLC tahlili yordamida KEEda oltita flavonoid va ikkitasi KAEda aniqlandi [55]. Bundan tashqari, antioksidant sifatida vit. E to'qimalarni reaktiv kislorod metabolitlari ta'siridan kelib chiqadigan zarardan himoya qiladi deb ishoniladi. Selen, shuningdek, inson salomatligi uchun muhim iz mineral bo'lib, hujayralarni erkin radikallarning zararli ta'siridan himoya qiladi [22].
Hozirgi tadqiqotda CCl4 administratsiyasi GSH va SOD ni sezilarli darajada kamaytirdi va MDA darajasini oshirdibuyrakGI ga nisbatan homogenatlar. Vit. E plus Se va A. ierofantik ekstraktlari SOD va GSH kabi antioksidant agentlarning o'zgartirilgan faolligini tiklash orqali CCl4 ning turli ta'sirini yaxshiladi va yaqinda xabar qilinganidek, MDA ishlab chiqarish jarayonini faolsizlantirishi mumkin [15,21,40,41] . GSH barcha sutemizuvchilar hujayralarida mavjud bo'lgan ferment bo'lmagan antioksidantdir. O'zining oksidlangan shakli GSSG bilan GSH oksidlovchi stressga qarshi ko'plab detoksifikatsiya qiluvchi fermentlar (GPx, GST va boshqalar) uchun kofaktor vazifasini bajaradi va hujayradagi oksidlanish-qaytarilish muvozanatini saqlaydi [47]. Bu topilma Xon va Siddiq [56] va Makni va boshq. [57], ular CCl4 kalamush buyragida GSH darajasini pasaytirganligini xabar qildilar. vit bilan davolash. E plus Se va A. ierofantik ekstraktlari CCl4 tomonidan qo'zg'atilgan GSH darajasining pasayishiga qarshi himoyani ko'rsatdi. Xuddi shu kontekstda SOD ikki molekula superoksid anionining (*O2) vodorod peroksidga (H2O2) va molekulyar kislorodga (O2) dismutatsiyasini katalizlaydi, natijada potentsial zararli superoksid anionini kamroq xavfli qiladi [58,59]. CCl4 intoksikatsiyasi buyrak SOD ni yo'qotish orqali gen ekspresyon darajasini o'zgartiradi [60]. SOD faolligining pasayishi hujayra shikastlanishining sezgir ko'rsatkichidir. Bizning sinovdan o'tgan A. ierofantik ekstraktlarimiz SOD darajasini pasaytirish orqali buyrak toksikligini yaxshiladi. Detoksifikatsiya reaktsiyalarining kontsentratsiyasini kamaytirish uchun turli fermentativ jarayonlarda ishtirok etadi [61]. MDA lipid peroksidatsiyasining birinchi mahsulotidir va oksidlovchi stressning muhim belgilaridan biridir. A. ierofantik ekstraktlar MDA darajasining oshishini kamaytirdi va CCl bilan davolash qilingan kalamush buyraklarida umumiy antioksidant quvvatni tikladi. Ushbu himoya ta'siri A. ierofantik ekstraktlarining kuchli antioksidant faolligi bilan bog'liq bo'lishi mumkin [15,21,40,41]. Bu natijalar, shuningdek, A. ierofantik ekstraktlari CCl taʼsirlangan kalamush buyraklarida lipid peroksid darajasini kamaytirish4-va buyrak shikastlanishining oldini olish orqali oksidlovchi stressni susaytirishi mumkinligini koʻrsatadi. Bu natijalar Zn ning CCl{26}}o'tkir nefrotoksisitesi bo'yicha antioksidant faoliyati natijalariga mos keldi [62,63].
A. hirerochuntica ekstraktlari bo'yicha qimmatli nefroprotektsiya qobiliyatini taqdim etdibuyrakfunktsiya testlari (kreatinin, karbamid, K, TP va albumin) va buyrakning homogenat antioksidant faolligi (GSH, SOD, MDA) mos ravishda GIV, V va IV da. vitga nisbatan umumiy nefroproteksiya foizi. E plus Se bilan davolash KAE bilan davolash qilingan guruhda maksimal darajalarni (GV, 97,62 foiz), keyin KEE (GIV, 83,27 foiz) va keyin KEE plus KAE (GVI, 78,85 foiz) mos ravishda kamayish tartibida qayd etdi. Bu antioksidant sig'im bilan bog'liq bo'lgan A. hirerochuntica ekstraktining fenolik va antioksidant tarkibining miqdori va sifatidagi farqlarga bog'liq bo'lishi mumkin [15,19,22,40,42].
Gistopatologik topilmalarbuyraklartekshirilayotgan eksperimental guruhlarning biokimyoviy baholariga mos keladi. CCl4 administratsiyasi (GII) buyraklardagi vazokongestion bilan glomerulyar va quvurli lezyonni keltirib chiqardi. Dogukan va boshqalar. [64] uzoq muddatli CCl4 davolashga javoban kalamush buyrak to'qimalarida shunga o'xshash gistologik naqshni aniqladi. Shuningdek, gistologik o'zgarishlar nefronlarning funktsional haddan tashqari yuklanishi natijasida kelib chiqadi, bu esa buyrak funktsiyasining buzilishiga olib keladi [65] va/yoki CCl4 metabolizmi orqali erkin radikal hosil bo'lishi natijasida qo'zg'atilgan to'qimalarning nobud bo'lishi bilan bog'liq [56,66]. . Vitning ta'siri. CCl4 ning buyraklarni yo'q qilish ta'sirini tiklash va tiklash uchun E plus Se va A. ierofantik ekstrakti sezilarli edi. Buning sababi vit bo'lishi mumkin. E plus Se (kuchli antioksidant sifatida) CCl4 [67] tomonidan qo'zg'atilgan ROSga ta'sir qiladi. A. ierofantik ekstraktlar A. hirerochuntica ekstraktlarida mavjud bo'lgan fenolik birikmalarning antioksidant roli va erkin radikallarni tozalash xususiyatlari tufayli CCl{10}}bo'lgan o'tkir nefrotoksiklikni bostiradi [22]. Bizning topilmalarimiz turli o'simlik hosilalari CCl4 suiiste'mollarini bartaraf etish va normal holatga qaytarish orqali farmakologik ta'sirga ega ekanligini ko'rsatgan boshqa tadqiqotchilarning natijalariga mos keladi [6].
5. Xulosalar
Ushbu tadqiqot natijalari aniq ko'rsatdiki, A. ierofantik o'simlik yuqori antioksidant quvvatga ega qutbli va qutbsiz fenolik birikmalarga boy bo'lib, bu fitokimyoviy tarkibga bevosita bog'liq. A. ierofantik (ayniqsa, suvli ekstrakt) kalamushlarni CCl4-bo'lgan oksidlovchi stress va o'tkir ta'sirlardan himoya qiladi.buyrakshikastlanish, bu MDA darajasining sezilarli pasayishi va GSH va SOD faolligining oshishi, shuningdek, buyraklardagi biokimyoviy va gistologik o'zgarishlarning to'xtashi bilan tasdiqlanadi. Himoya samaradorligi A. ierofantik ekstraktlarida mavjud bo'lgan fenolik birikmalarning antioksidant va erkin radikallarni tozalash xususiyatlaridan kelib chiqadi. Bu xususiyatlar o'simlikning dorivor o'simlik sifatida dorivor samaradorligini tushuntirishga yordam beradi. A. ierofantikasining faol tamoyillarini toʻliq tavsiflash uchun koʻproq tadqiqotlar talab etiladi va bu tadqiqot uning mexanizmlari va xavfsiz dozalarini aniqlash uchun yetarli maʼlumotlar va tavsiyalar berish uchun keng qamrovli tadqiqotlarni ragʻbatlantirishga qaratilgan.
Muallif hissalari:Kontseptsiya, TIA, YMA va HB; metodologiya, tergov, HB va HAA-R .; ma'lumotlar kuratsiyasi, TIA va YMA; yozish - asl loyihani tayyorlash, ko'rib chiqish va tahrirlash; HB va HAA-R. Barcha mualliflar qo'lyozmaning nashr etilgan versiyasini o'qib chiqdilar va rozi bo'ldilar.
Moliyalashtirish:Tadqiqotchilar ushbu loyihani nashr etishni moliyalashtirgani uchun Qosim universitetining ilmiy tadqiqot dekanligiga minnatdorchilik bildiradilar.
Ma'lumotlar mavjudligi to'g'risidagi bayonot:Ushbu tadqiqotda keltirilgan ma'lumotlar tegishli muallifning so'roviga binoan mavjud.
QisqartmalarABTS:2,2'-azino-bis(3-etilbenzol tiazolin-6-sulfonik kislota); AOA:antioksidant faollik; BHA: butillangan gidroksianizol; BHA: butillangan gidroksianizol; DPPH: 1,1-difenil-2-pikrilgidrazin; DW: quruq vazn; GA: gallik kislota; GAE: gallik kislota ekvivalenti; GSH: qisqartirilgan glutation; HPLC-DAD: yuqori samarali suyuqlik xromatografiyasi diodli qatorni aniqlash; KAE: A. ierofantik suvli ekstrakt; KEE: A. ierofantik etanolik ekstrakt; MDA: malonaldegid; QE: quercetin ekvivalenti; RAA: nisbiy antioksidant faollik; ROS: reaktiv kislorod turlari; RSA: radikallarni tozalash faoliyati; Se: selen; SE: standart xato; SOD: superoksid dismutaza; TC: umumiy karotenoidlar; TC: umumiy karotenoidlar; TF: umumiy flavonoidlar; TE: Trolox ekvivalentlari; TFL: umumiy flavonollar; TPC: umumiy fenolik birikmalar.

Referentsiyalar
1. Statistika, Qo'shma Shtatlardagi KD surunkali buyrak kasalligi. 2021. Onlaynda mavjud:(2021-yil 20-iyulda kirish mumkin).
2. Ku, E.; Glidden, DV; Yoxansen, KL; Sarnak, M.; Tighiouart, X.; Grimes, B.; Hsu, CY surunkali buyrak kasalligi paytida qon bosimini qattiq nazorat qilish va buyrak kasalligining oxirgi bosqichi boshlanganidan keyin o'limni kamaytirish o'rtasidagi assotsiatsiya. Buyrak Int. 2015, 87, 1055–1060.
3. Tumlin, JA; Madaio, deputat; Hennigar, R. Idiopatik IgA nefropati: patogenezi, histopatologiyasi va terapevtik variantlari. Klin. J. Am. Soc. Nefrol. 2007, 2, 1054–1061.
4. Olah, G.; Reddy, VP; Prakash, GS; Reaktsiyalar, FC Kirk-Othmer kimyoviy texnologiya ensiklopediyasi. Kontakt linzalari 1978, 720–742.
5. O‘zturk, F.; Ucar, M.; Ozturk, IC; Vardi, N.; Batcioglu, K. Sprague-Dawley kalamushlarida uglerod tetrakloriddan kelib chiqqan nefrotoksiklik va betainning himoya ta'siri. Urologiya 2003, 62, 353-356.
6. Ogeturk, M.; Kus, I.; Colakoglu, N.; Zararsiz, I.; Ilhan, N.; Sarsilmaz, M. Kofe kislotasi fenetil esteri buyraklarni kalamushlarda uglerod tetraklorid toksikligidan himoya qiladi. J. Etnofarmakol. 2005, 97, 273–280.
7. To'qimalarning shikastlanishida Slater, TF erkin radikal mexanizmlari. Hujayra faoliyati va kasalliklarida; Canedo, LE, Todd, LE, Packer, L., Jaz, J., Eds.; Springer: Boston, MA, AQSh, 1988; 209–218-betlar.
8. Xan, MR; Rizvi, V.; Xan, GN; Xan, RA; Shaheen, S. Sichqonlarda uglerod tetraklorid bilan qo'zg'atilgan nefrotoksiklik: Digerati muricata ning himoya roli. J. Etnofarmakol. 2009, 122, 91–99.
9. Afsar, T.; Xan, MR; Razak, S.; Ulla, S.; Mirza, B. Acacia hydaspica R. Parkerning antipiretik, yallig'lanishga qarshi va og'riq qoldiruvchi faolligi va uning fitokimyoviy tahlili. BMC qo'shimchasi. Muqobil. Med. 2015, 15, 1–12.
10. Al-Qabba, MM; El-Movafi, MA; Althwab, SA; Alfheeaid, HA; Aljutayi, T.; Barakat, H. Fenolik profil, antioksidant faollik va Chenopodium quinoa novdalarining kalamushlarda CCl4 keltirib chiqaradigan oksidlovchi stressga qarshi samaradorligini yaxshilash. Oziq moddalar 2020, 12, 2904.
11. Al Zhrani, MM; Althwab, SA; Aljutayi, T.; Alfheeaid, HA; Ashish, IS; Barakat, H. 2-toifa diabetga chalingan kalamushlarda moringa asosidagi ichimliklar giperlipidemiya va giperglikemiyaga qarshi himoya ta'siri. Oziq-ovqat Res. 2021, 5, 279–289.
12. Xalifa I.; Navoz, A.; Sobi, R.; Althwab, SA; Barakat, H. Poliatsillangan antosiyaninlar monomerik antosiyaninlarga qaraganda 2019-nCoV ning 3CLpro ning katalitik ikkilamchi qoldiqlari bilan konstruktiv tarzda tarmoqlanadi: Silikon tarkibidagi yondashuvlardan foydalangan holda 10 ta antosiyanin bilan strukturaviy-aloqa faolligini o‘rganish. J. Mol. Grafik. Model. 2020, 100, 107690.
13. Yusof, J.; Mahdi, ZA; Noor, RM Homiladorlikda qo'shimcha va muqobil tibbiyotdan foydalanish va uning akusherlik natijalariga ta'siri. To'ldiruvchi. U erda. Klin. Amaliyot. 2016, 25, 155–163.
14. Saloh, SH; Abdu, HS; Abd al-Azim, A.; Abdel-Rahim, E. Ba'zi dorivor o'simliklarning xromosoma aberatsiyasiga va g'ayritabiiy nuklein kislotalar almashinuviga gipoglikemik vositalar sifatida antioksidlovchi ta'siri erkaklar kattalar albinos kalamushlarida diabet stressi natijasida hosil bo'lgan.J. Qandli diabet. 2011, 1, 6–14.
15. Daur, I. Kaff Maryam (Anastatica hierochuntica L.) dorivor o'tining kimyoviy xossalari va xalq tabobatida foydalanish bilan bog'liqligi. Afr. J. Mikrobiol. Res. 2012, 6, 5048–5051.






